052-352-1182
9:00-12:30 / 14:30-18:30
インプラント治療は、噛む機能だけでなく、
これからの生活や人生そのものに影響する大切な治療です。
だからこそ、
「この治療方針で本当にいいのかな?」
「他に選択肢はないのだろうか?」と迷いを抱えたまま、
当院へ“もう一度相談”に来られる方が年々増えています。
実際に、当院にセカンドオピニオンとして来院される患者さまからは、
次のようなお悩みをよく伺います。
初回の見積もりから金額が変わり、最終的な費用が見えない。「結局、全部でいくらかかるの?」と不安になるのは当然です。当院では、初診時から治療全体を見据えた費用をできる限り明確に提示。後から理由の分からない追加費用が発生しないよう、丁寧にご説明しています。
質問をしてもはぐらかされる、説明が抽象的で信頼できない…。その違和感は、とても大切なサインです。インプラント治療は、「どの医院で受けるか」ではなく「誰が担当するか」で結果が大きく変わる治療です。当院では、指導経験を持つドクターが、メリットだけでなくリスクや限界まで正直に説明。
十分に理解・納得した上で治療を選んでいただきます。
本当に抜歯しか選択肢はないのか。
「少しでも歯を残す方法はないの?」
そう感じて相談に来られる方は少なくありません。
歯を抜く判断は、慎重すぎるほどでちょうどいいと私たちは考えています。
当院では、可能性がある限り保存治療を検討し、
複数の治療プランとその理由を分かりやすくお伝えします。
オールオン4は優れた治療法ですが、万能ではありません。
状態によっては、別の方法の方が負担が少ない場合もあります。
それにもかかわらず選択肢を示されず、
「本当に自分に必要なの?」
「もっと合う治療があるのでは?」
と疑問を感じて来院される方が多くいらっしゃいます。
当院では、骨の量・残っている歯・将来のリスク・生活スタイル・費用面まで含めて総合的に診断。
複数の治療法を比較しながら、ご自身で選べる形でご提案します。
治療内容も、費用も、担当医も、「納得して選ぶこと」こそが何より重要です。この治療が本当に自分に合っているのか、できるだけ歯を残せる方法はないのか、費用は妥当なのか、オールオン4以外の選択肢も含めて検討したい。そう感じているなら、今はまだ進まなくて構いません。
当院では、セカンドオピニオンのみのご相談も数多くお受けしています。あなたの状況にとって最善の治療を、一緒に整理し、丁寧に考えていきます。
まずは、「納得して選べる安心感」を手に入れるところから始めてください。
当院のインプラント治療が
選ばれる理由

圧倒的に短い
治療期間と回数
当院では、インプラント手術当日にデジタルスキャナーを用いてセラミック補綴の型取りを行っていますので、治療期間や通院回数が少なくてすみます。また、手術したその日からお食事ができるように治療計画を立てております。
01

CT・スキャナーを用いた
デジタル診断
インプラント治療を正確に、そして安全に行うためにはCTによる診断がとても重要です。
CTは、従来のレントゲン撮影では難しい細かな骨の量や幅、神経や血管の状態まで、多角的に確認することが出来ます。
CTによる事前の正確な診断により綿密な治療計画を立てることができます
02

サージカルガイドを
使用したより安全な治療
より安全にインプラント治療を行えるように「サージカルガイド」を導入しています。インプラントは骨にドリルで穴をあけてインプラント体を埋入する手術が必要になりますが、この時にドリルをぶらさずに着地点や角度を正確に導くことができるのがサージカルガイドです。事前に、CT撮影による口腔内の情報をもとにコンピューター上でシミュレーションを行い、サージカルガイドを作製しますので、より安全なインプラント治療を行うことができます。
03

オペ室完備
インプラント治療は外科処置となるため、手術を行う際は、安心・安全のために衛生管理をしっかりと行い、完全個室で感染のリスクを抑えています。滅菌された器具を使用し、衛生面への徹底した配慮を行っています。
04

難症例にも対応
当院では、インプラント治療の経験が豊富な歯科医師がインプラント手術を行います。他院で「全身疾患を理由に断られてしまった」「骨の量や高さを理由に断られた」という方も、当院では骨を増やしてからインプラント治療を行うなど、一人ひとりに合わせた方法でインプラント治療を行うことができます。断られてしまった経験がある方も、お気軽にご相談ください。
05
ストローマン
インプラントを使用
当院では、世界70ヵ国以上、500万人以上が利用されている
ストローマンインプラントを使用しています。
世界のインプラント市場でトップクラスのシェアがあります。
06
手術が怖い。このような相談を多く受けます。その様な方のために痛みや恐怖心なく治療が終えられる「静脈内鎮静法」をお勧めしています。
麻酔専門医による正確な術前診断と
術中のコントロールを行います
静脈内鎮静法は全身麻酔とは異なり、完全に意識がなくなるのではなく、リラックスした状態で痛みや不安、恐怖心や緊張感を感じずに、半分眠っているような状態で手術を受けることができます。
こう歯科クリニックには、豊富な実績をもつの麻酔認定医が常駐しており、血圧・心電図・酸素飽和度などの生体モニターを常にチェックしながら、患者様の手術中の安全を守っています。
POINT
歯が失われた原因を残したまま
治療をする
ことはありません
原因をしっかりと取り除くことで
長期間使用
できるインプラントが実現します
当院ではインプラント治療の
無料相談を行っております。
まずはお気軽に
ご相談ください。
他の治療方法との比較
歯を失ってしまった場合には、取り外し可能な入れ歯か、両サイドの歯を削って橋を架けるように補うブリッジが、
昭和の時代は一般的でした。
しかし、噛み心地や見た目、周囲の健康な歯を削らなくてはいけないといった問題など多くありましたが、
インプラント治療はそういった従来の治療方法の問題点を補い、快適な噛み心地と見た目を取り戻せる方法です。
| ブリッジ・入れ歯との違い | |||
|---|---|---|---|
| インプラント | ブリッジ | 入れ歯 | |
| 装置 | ![]() |
![]() |
![]() |
| 審美性 | 天然歯に近い美しい仕上がりになる | 保険適用外の素材を使用すれば天然歯に近い仕上がりとなる | 保険適用の入れ歯は留め具が目立ってしまうため審美性が劣る |
| 違和感 | 違和感が少ない | 違和感が少ない | 違和感や異物感がある 食べ物が噛めない(20%~30%) |
| 他の歯への影響 | 影響しない | 支えとなる周囲の歯に負担を与えてしまう 食べ物が詰まりやすい 清掃性が悪い |
部分入れ歯の場合はバネをかける歯に負担がかかってしまう 健康な歯を削らなければいけない |
| 外科治療 | 手術が必要 | 場合により外科処置が必要 | 不要 |
| 費用 | 保険適用とはならないため費用が高くなりやすい | 保険適用と自費のものがある | 保険適用と自費のものがある |
| 治療期間 | 2ヵ月~3ヵ月 | 短期間で治療が可能 | 1ヵ月~2ヵ月 |
| ブリッジ・入れ歯との違い | |
|---|---|
| インプラント | |
| 装置 | ![]() |
| 審美性 | 天然歯に近い美しい仕上がりに なる |
| 違和感 | 違和感が少ない |
| 他の歯 への影響 |
影響しない |
| 外科治療 | 手術が必要 |
| 費用 | 保険適用とはならないため費用 が高くなりやすい |
| 治療期間 | 2ヵ月~3ヵ月 |
| ブリッジ | |
| 装置 | ![]() |
| 審美性 | 保険適用外の素材を使用すれば 天然歯に近い仕上がりとなる |
| 違和感 | 違和感が少ない |
| 他の歯 への影響 |
支えとなる周囲の歯に負担を与 えてしまう 食べ物が詰まりやすい 清掃性が悪い |
| 外科治療 | 場合により外科処置が必要 |
| 費用 | 保険適用と自費のものがある |
| 治療期間 | 短期間で治療が可能 |
| 入れ歯 | |
| 装置 | ![]() |
| 審美性 | 保険適用の入れ歯は留め具が目 立ってしまうため審美性には劣る |
| 違和感 | 違和感や異物感がある 食べ物が噛めない(20%~30%) |
| 他の歯 への影響 |
部分入れ歯の場合はバネをかけ る歯に負担がかかってしまう 健康な歯を削らなければならない |
| 外科治療 | 不要 |
| 費用 | 保険適用と自費のものがある |
| 治療期間 | 1ヵ月~2ヵ月 |
インプラント治療の流れ
インプラント周囲炎に
ご注意ください
インプラント周囲炎とは、インプラントとその周囲の粘膜、骨に起こる炎症です。
毎日の歯みがきと歯科医院での定期的なメンテナンスで予防することができます。当院は予防にも力を入れております。インプラント周囲炎にならないようしっかりとサポートしていきます。
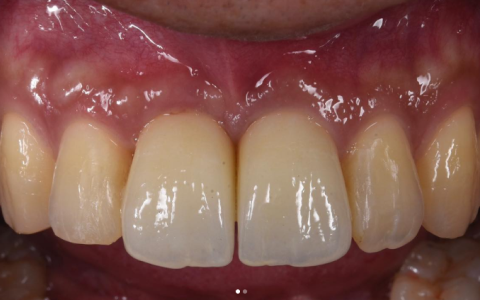
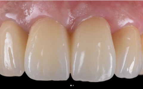
当院のインプラント症例
当院で行ったインプラント治療の
症例をご紹介します
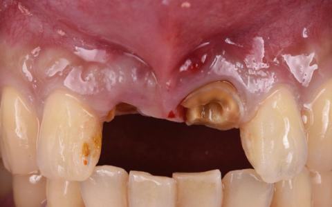
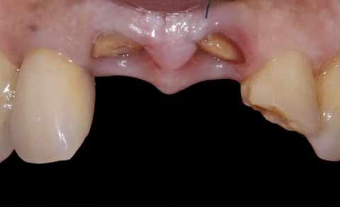
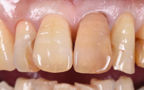
Before
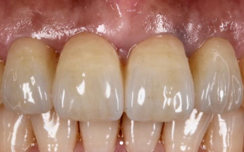
After
| 施術内容 | 上顎前歯にインプラントを1本埋入。 |
|---|---|
| リスク・副作用 | 手術直後は腫れや痛み、違和感、出血などが生じる場合があります。 口腔内の衛生状態が悪い方、歯ぎしり、くいしばりの強い方はインプラント周囲炎を引き起こす可能性があります。 |
| 治療期間 | 約3ヵ月 |
| 費用 | 500,000円(税別) |
Before
After
| 施術内容 | 下顎に3本、上顎に2本の計5本インプラントを埋入。 |
|---|---|
| リスク・副作用 | 手術直後は腫れや痛み、違和感、出血などが生じる場合があります。 口腔内の衛生状態が悪い方、歯ぎしり、くいしばりの強い方はインプラント周囲炎を引き起こす可能性があります。 |
| 治療期間 | 約6ヵ月 |
| 費用 | 約2,500,000円(税別) |
Before
After
| 施術内容 | 上下全ての歯にインプラントを埋入。 |
|---|---|
| リスク・副作用 | 手術直後は腫れや痛み、違和感、出血などが生じる場合があります。 口腔内の衛生状態が悪い方、歯ぎしり、くいしばりの強い方はインプラント周囲炎を引き起こす可能性があります。 |
| 治療期間 | 約12ヵ月 |
| 費用 | 約7,000,000円(税別) |
Before
After
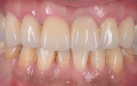
| 施術内容 | 前歯が折れたため2本インプラントを埋入。 |
|---|---|
| リスク・副作用 | 手術直後は腫れや痛み、違和感、出血などが生じる場合があります。 口腔内の衛生状態が悪い方、歯ぎしり、くいしばりの強い方はインプラント周囲炎を引き起こす可能性があります。 |
| 治療期間 | 約3ヵ月 |
| 費用 | 約1,200,000円(税別) |
Before
After
| 施術内容 | むし歯・臼歯慢性歯周炎の上下全ての歯にインプラントを埋入。 |
|---|---|
| リスク・副作用 | 手術直後は腫れや痛み、違和感、出血などが生じる場合があります。 口腔内の衛生状態が悪い方、歯ぎしり、くいしばりの強い方はインプラント周囲炎を引き起こす可能性があります。 |
| 治療期間 | 約12ヵ月 |
| 費用 | 約4,500,000円(税別) |
Before
After
| 施術内容 | 前歯が折れたため2本インプラントを埋入。 |
|---|---|
| リスク・副作用 | 手術直後は腫れや痛み、違和感、出血などが生じる場合があります。 口腔内の衛生状態が悪い方、歯ぎしり、くいしばりの強い方はインプラント周囲炎を引き起こす可能性があります。 |
| 治療期間 | 約3ヵ月 |
| 費用 | 約1,200,000円(税別) |
Before
After
| 施術内容 | 慢性化膿性根尖性歯周炎の歯にインプラントを埋入。 |
|---|---|
| リスク・副作用 | 手術直後は腫れや痛み、違和感、出血などが生じる場合があります。 口腔内の衛生状態が悪い方、歯ぎしり、くいしばりの強い方はインプラント周囲炎を引き起こす可能性があります。 |
| 治療期間 | 約2ヵ月 |
| 費用 | 約600,000円(税別) |
Before
After
| 施術内容 | 慢性化膿性根尖性歯周炎歯にインプラントを埋入。 |
|---|---|
| リスク・副作用 | 手術直後は腫れや痛み、違和感、出血などが生じる場合があります。 口腔内の衛生状態が悪い方、歯ぎしり、くいしばりの強い方はインプラント周囲炎を引き起こす可能性があります。 |
| 治療期間 | 約3ヵ月 |
| 費用 | 約1,500,000円(税別) |
セカンドオピニオン
インプラントの
セカンドオピニオンにも対応
医院ごとに導入している技術や設備の違いにより、対応できる治療内容や費用には差があります。そのため、患者様にはさまざまな治療法について知っていただき、特徴や違いを理解したうえで、ご自身にとって最適な方法を選んでいただければと思います。当院ではセカンドオピニオンも承っており、他院でお見積りをされた方もご来院されることが非常に多いです。どのようなことでも構いませんので、ぜひお気軽に私たちにご相談いただければと思います。
少しでもご興味をお持ちの方は、お気軽にお問い合わせください。
他院で断られてしまった方へ
他院でインプラント治療を
断られてしまっても
諦めずにご相談ください!
全身疾患を
理由に断られた
糖尿病、高血圧、心疾患、骨粗しょう症などの全身疾患をお持ちの方はインプラント治療を断られることがあります。当院では、全身疾患をお持ちの患者さんでもインプラント治療が可能です。また状態によっては、患者さんのかかりつけ医と相談し、治療を行っていますのでご安心ください。
01
CASE
糖尿病
心血管病変や腎不全などの重篤な合併症がない方は治療可能ですので、一度ご相談ください。
高血圧
点滴をすることにより血圧の上昇を抑制するか、薬により血圧を下げることができれば、治療することが可能です。重度の高血圧症の場合は、かかりつけ医に相談して治療を行うか決めます。
心疾患
かかりつけ医に相談し、許可があれば治療が可能ですが、狭心症や心筋梗塞、心臓弁膜症により人工弁置換手術を受けた方、ペースメーカーを入れている方は、特に綿密な連携をとります。
骨粗しょう症
顎の骨にはあまり関係がないとされているため、治療は可能です。ただし、骨粗しょう症の薬を服用されている方は、休薬する必要があるので、かかりつけ医に相談いたします。
骨の量や高さを
理由に断られた方
インプラント治療は、顎の骨が少ない・薄い場合は断られることがありますが、骨造成や骨移植など患者さんの状態に合わせて様々な方法を選択することで治療をすることができます。
どの方法も高度な技術が必要となりますが、当院は経験豊富のため、安心して手術を受けていただくことができます。
02
CASE
ソケットリフト
上顎の奥歯の骨量が足りない時に用いる方法で、上顎の下から穴を開けて隙間をつくり、骨造成や骨移植を行います。
サイナスリフト
上顎と上顎洞の間が狭く、ソケットリフトが難しい時に用いる方法で、上顎の側面から穴を開けて隙間をつくり、骨造成や骨移植を行います。
GBR
歯槽骨の幅や高さがない時に、骨造成して骨量を増やす方法で、インプラントが骨におさまらず露出してしまっている箇所に、メンブレンという特殊な膜を被せることで骨の再生を促進させます。
ソケットプリザベーション
抜歯する際に、骨をできるだけ多く残すために行う方法で、骨が失われた部分に人工骨(骨補填剤)を入れることで、インプラントが確実に埋入できるようにします。
スプリットクレスト
骨量が不足していたり、顎の骨の幅が狭い時に用いる方法で、特殊な器具を骨の上部に挿入して骨を広げ、その隙間にインプラントを埋入します。
CTG/FGG
歯肉が痩せ、薄くなっている状態の時に用いる方法で、患者さんご自身のお口の中にある結合組織だけを採取して移植することで歯肉を安定させます。
どうしてもインプラントが
できない方は・・・
入れ歯をしっかり作るなど、患者さんの状況に合わせて別の方法を提案させていただきます。どんな方に対してもしっかりと食事ができるよう、最適な治療方法を考えていきます。まずはお気軽にご相談ください。
当院ではインプラント治療の
無料相談を行っております。
まずはお気軽に
ご相談ください。
治療費用
| インプラント相談料 | 無料 |
|---|---|
| インプラント手術(インプラント体含む) | 275,000円 |
| 上部構造 | 132,000円~154,000円 |
| オプション | |
| サージカルガイド | 55,000円/1部位 |
| 骨造成、抜歯即時インプラント | ※詳細はお問い合わせください。 |
※税込表記です
※インプラント相談料:検査・診断を行う場合は別途費用がかかる可能性があります
PAYMENT
お支払方法
クレジット
カード
分割
※ご相談ください
当院では、現金の他クレジットカードや分割でのお支払いにも対応しています。
デンタルローンでの
お支払いについて
インプラントを検討しているが、
自費診療だから治療費をまとめて
支払うのは厳しいので、
できない…。
そう思っていませんか?
例えば、インプラント(上部構造含む)
37万円(税抜)を
デンタルローンを
利用した場合、
月々
7,700円~
でお支払いが可能です!!
※60回払い、年利5.8%の場合
詳しくはスタッフにお気軽にご相談ください。
| 項目 | 価格 |
|---|---|
| 1回目 | 10,923円 |
| 2回目以降 | 7,700円 |
最長10年 ガイドデント
保証認定歯科医院
当院ではインプラント体に関しては治療後2年以内は無料、
それ以上は10年を基準に保証割合が推移する保証制度を設けております。
詳しくはお問い合わせください。
※当院にメンテナンスに通っていただけている方に限ります。
医療費控除について
その年の1月1日から12月31日までの間に10万円以上の医療費を支払った場合、税務署へ確定申告することで、治療費の一部が戻ってきます。領収書や通院の際にかかった経費の領収書などは大切に保管しておきましょう。
<医療費控除の対象となるもの>
・子どもが成長するうえで必要だと認められる治療
・悪い歯並びが機能的に問題がありその改善のために行う治療
<医療費控除の対象とならないもの>
・美容目的の矯正治療
ご挨拶
インプラントは痛い、怖い、噛めないというイメージが強くあるようですが、30年以上行われている治療法です。
歯科用CTによる事前診断やインプラント体の進化、デジタル機器の発展などで、患者さんへの負担も大幅に軽減されています。
治療後しばらくは、月1回のペースで来院していただきホームケアに不備がないかを確認し、状態が安定すれば通常のメンテナンスに戻っていただきます。
当院では、清掃が行き届いているか、ブラシの当て方やフロスの使い方が正しいかのチェックを念入り行っています。
ただ、あくまでも人工物のため、不用意にこの治療法に飛びつくことなく、しっかり考え、納得された上で治療を受けられることをお勧めします。
歯科医師 阿部 公成
略歴
資格・所属学会
所属勉強会
受講コース
受講コース(海外)
論文発表
医院紹介
INFECTION CONTROL
当院の感染対策について
患者さんがより安心して治療を受けていただけ
るよう、
徹底した感染対策を行っています。
水を清潔に保つ
治療や洗浄などあらゆる場面で使用する水を清潔に保つため、当院では中性電解水生成装置「ポセイドン」を導入しております。
医療用空気清浄機
大規模な医療施設などで使われている「エアロシステム」という医療用空気清浄機を2台導入しています。
高速滅菌器
当院では、最短約7分と高速での滅菌が可能な「STATIM」という高速滅菌器を使用し、ハンドピース内部まで滅菌しております。
滅菌パック
滅菌後はパック保存し、使用する直前に開封するようにしています。
使い捨て製品の活用
手袋やエプロン、コップなど患者さん毎に交換できる物は使い捨て製品(ディスポーザブル)を活用しています。
小まめな清掃
ユニットや待合室など、アルコールによる清掃を小まめに行うようにしています。
診療時間・アクセス

〒454-0818 名古屋市中川区松葉町4丁目29
052-352-1182
| 診療時間 | 月 | 火 | 水 | 木 | 金 | 土 | 日 | 祝 |
|---|---|---|---|---|---|---|---|---|
| 9:00~12:30 | ● | ● | ● | ● | ● | ● | / | / |
| 14:30~18:30 | ● | ● | ● | ● | ● | ▲ | / | / |
※診療時間が変更となりました
午後診療は14:30~19:30→14:30~18:30、木曜診療
▲:14:30~17:30 休診日/木曜日・日曜日・祝日
お車でお越しの方へ
駐車場26台完備
※ご来院前にお電話にてご確認ください
公共交通機関でお越しの方へ
近鉄名古屋線「烏森駅」徒歩3分
あおなみ線「小本駅」徒歩3分
よくある質問
健康保険は適用できますか?
インプラント治療に健康保険は適用されないため、自費診療となり歯科医院によって費用は異なります。
そのため、様々な医院のお話を聞いてから決める方も多くいらっしゃいます。他院に話を聞きに行ったという方もお気軽にご相談ください。
治療期間はどのくらいかかりますか?
インプラント手術時の状態により、最短6週間で被せ物が入ります。骨の状態が悪い場合は3ヵ月~4ヵ月かかる場合もあります。個人差がありますので、詳しくは精密検査時にお伝えさせていただきます。
インプラントはどのくらい使えますか?
個人によりますが、歴史上最も長くインプラントが入っているのは30年~40年です。もちろんそれ以上に使える可能性があります。
喫煙者の方や持病をお持ちの方は、インプラントが抜けてしまうリスクもありますので注意が必要です。当院では安心してインプラント治療を受けていただくためにも、治療後の保証制度を設けております。
手術時痛みはありますか?
インプラント治療は、麻酔を行ってから治療していくため、ほとんど痛みを感じませんが、術後腫れるケースがあります。そのため、術後に鎮痛剤の投与を徹底しております。
年齢制限はありますか?
18歳以上であれば、インプラント治療を行うことができます。18歳以下の方は、まだ骨の成長が終わっていないこともあるので不可能とされています。インプラント治療に上限はないため、お年寄りの方でも治療が可能です。
医療費控除はできますか?
はい、可能です。1年間で200万円まで、所得に応じて控除を受けることができます。医療費控除について詳しく知りたい方はお気軽にお問い合わせください。
治療後気を付けたほうがいいことはありますか?
生活習慣やセルフケアなど歯を失ってしまった根本的な問題を改善していくことが大切です。もちろん、定期検診はインプラントだけではなくどんな治療の後でも大切ですから、通院していただく必要性があります。患者さん一人ひとりの状態に合わせて適切な期間で通っていただけるようアドバイスを行っています。